Kallus, auch Callus (Plural Kalli bzw. Calli; von lateinisch callus „verhärtete, dicke Haut, Schwiele“) ist erstens eine allgemeine Bezeichnung für eine Schwiele, insbesondere für eine Hornschwiele. Der Kallus, als Frakturkallus, ist zweitens ein spezieller medizinischer Begriff für neugebildetes Knochengewebe nach einer Fraktur.
Beschreibung
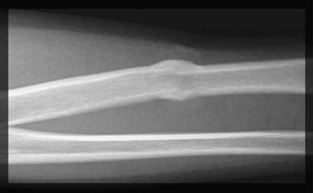
Der Kallus – Synonyme sind „Knochenkallus“, „Frakturkallus“, „Bruchkallus“ – wird von den Osteoblasten aufgebaut. Die Neubildung an Knochensubstanz ist unter bestimmten Voraussetzungen nach einigen Wochen mit Hilfe von Röntgenaufnahmen sichtbar. Eine Voraussetzung für die radiologisch sichtbare Kallusbildung ist, dass die Bruchenden nicht hundertprozentig aufeinanderstehen bzw. passen oder Bewegung haben, so dass also ein Spalt überbaut werden muss. Diese Form der Knochenbruchheilung wird Sekundärheilung, auch indirekte Frakturheilung genannt.
In solchen Fällen bauen die Osteoblasten während der Heilungsphase eines Knochenbruches eine radiologisch deutlich sichtbare Verdickung um die Bruchstelle. Die Verdickung wird in einem lange dauernden Prozess (über Monate bis Jahre) von den Osteoklasten meist wieder auf die normale Knochendicke abgebaut. Kommt es zu einer Kallusbildung zwischen nah beieinanderliegenden Knochen wie Elle und Speiche oder Schien- und Wadenbein, kann das überschießendes Knochengewebe auch die bindegewebigen Verbindungen dieser Knochen (Membrana interossea) einschließen und zwischen ihnen eine Synostose verursachen. Man spricht dann von einem Brückenkallus.
Bei einer primären Knochenheilung fehlt eine Kallusbildung. Es kommt zu einer direkten Frakturheilung durch die Havers-Kanäle.
Eine überschießende Kallusbildung (Callus luxurians) kann Hinweis auf eine verzögerte Knochenbruchheilung aufgrund einer unzureichenden Ruhigstellung sein und sich zu einer hypertrophen Pseudarthrose entwickeln.
Der Kallus kann bei Knochenbrüchen in Gelenknähe oder im Gelenk zu einer anschließenden Bewegungseinschränkung und damit auch zu einer (Kontraktur) führen. Selten sind auch Kompressionen von knochennahen Nerven und Gefäßen möglich.
Dass es sich beim Kallus ebenso wie bei Knochen um eine lebende Substanz handelt, wies im 18. Jahrhundert erstmals William Hunter nach.
Weblinks
Einzelnachweise


![]()

